Intrauterinní kontracepce – kazuistiky a postřehy z praxe
Příspěvek měl za cíl připomenout intrauterinní kontracepci jako účinnou, moderní a bezpečnou metodu zabránění početí. V úvodu jsou zmíněny významné milníky vývoje intrauterinního tělíska od starověku až po moderní dobu. Významný posun ve vývoji a používání nastal na počátku 20. století.
MUDr. František Weidenthaler, Gynekologická ambulance, Dačice a Slavonice
weidenthaler.f@seznam.cz
Lékaři Richard Richter, Ernst Gräfenberg, Lazar Margulies, Howard Tatum a další posouvali vývoj intrauterinního tělíska (intrauterine device, IUD) kupředu směrem k vyšší bezpečnosti, účinnosti a lepšímu uživatelskému komfortu. Velký význam mělo použití plastů, přidání mědi, stříbra, zlata a posléze i hormonu levonorgestrelu (LNG).
Výraznou stopu ve vývoji IUD zanechali v sedmdesátých letech prim. MUDr. Jiří Šráček a Ing. Halámek. Jejich první československé plastové tělísko DANA si velmi rychle získalo oblibu a název DANA se stal v Československu synonymem pro tělísko jako takové. Tělísko se stalo hitem u nás, Polsku, Švédsku, Vietnamu i dalších zemích.
Autor prezentace měl možnost po určitou dobu pracovat s prim. Šráčkem na jednom pracovišti a vzhledem k přátelskému kolegiálnímu vztahu se dozvěděl mnohé zajímavosti a podrobnosti ohledně vývoje tělíska a jeho uvedení do klinické praxe.
Prezentace představila různé základní typy dnes používaných IUD a přinesla srovnání IUD bez hormonů a intrauterinního systému s hormonem levonorgestrel (intrauterine system, IUS). Oba typy patří mezi nejúčinnější formy antikoncepce. IUD s mědí má účinnost 99,2 % a Pearl index 0,5–0,8, IUS s levonorgestrelem účinnost 99,8 % a Pearl index 0,1–0,2. Obecně lze uvést, že IUD bez hormonu je vhodné pro ženy, které preferují přirozený menstruační cyklus bez přidaných hormonů a před insercí nemají problém s nepravidelným nebo silným krvácením. Je u něj popisována vyšší relativní frekvence ektopických gravidit.
IUS s LNG je vhodné pro ženy se silnou a bolestivou menstruací, které chtějí maximální spolehlivost a nevadí jim mírná hormonální zátěž. Chrání endometrium před hyperplazií a může být použito v kombinaci s estrogenním přípravkem jako kontinuální hormonální substituční terapie. U malého procenta uživatelek se může objevit občasný spotting, bolesti hlavy a změny nálad.
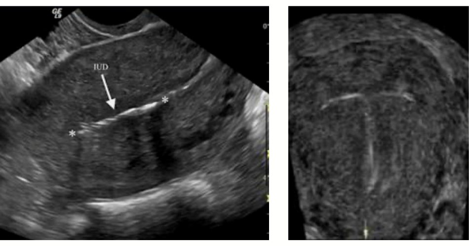
Část prezentace se věnovala IUD v ultrazvukovém obraze, viditelnosti jednotlivých typů a ultrazvukovému nálezu při nesprávném uložení tělíska.
Na závěr prezentace zazněly čtyři kazuistiky z autorovy praxe.
První kazuistika dokumentovala případy nechtěné extrakce IUD při odběru cytologie a těsně po inserci při nesprávné manipulaci s nástroji.
Druhá kazuistika uváděla případ donošené gravidity při IUD GyneFix ponechaném in situ.

Třetí kazuistika popsala případ ektopicky uloženého IUS v dutině břišní po dvou letech užívání metody, následnou diagnostiku uložení, laparoskopické odstranění a opětovné zavedení IUS na přání pacientky po hysteroskopické kontrole zhojení děložní stěny.
Poslední kazuistika pojednávala o rozvoji karcinomu endometria u pacientky s tříletým užíváním IUS s LNG. Tělísko bylo zavedeno při ultrazvukovém nálezu nízké výšky endometria, a i při pravidelných kontrolách byl ultrazvukový nález až do počátku spottingu vždy bez patologie.
Na závěr lze konstatovat, že při správné indikaci a vhodně zvoleném typu intrauterinního tělíska může tato metoda uživatelce nabídnout vysoký komfort i bezpečnou ochranu před početím.